Dentistry Before and After Photos in Lodi

At Utopia Dental Arts we are dedicated to creating lasting smiles through comprehensive care using the latest technology. We proudly offer personalized, patient-driven care focused on the health, beauty, and functionality of your teeth. Please browse our smile gallery below and contact us to schedule a smile consultation today.

Cosmetic Dentist Rutherford NJ

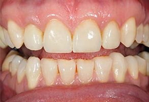
Before Invisalign

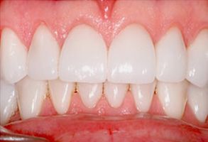
Cosmetic Dentist Rutherford NJ

After Invisalign

Utopia Dental Arts | Digital Radiography, Digital Impressions and ViziLite reg  Cancer Screening

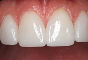
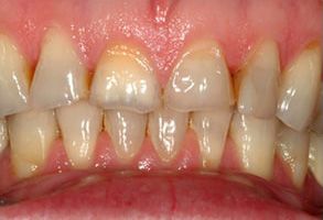
Before

Utopia Dental Arts | Invisalign reg , Oral Exams and Preventative Program

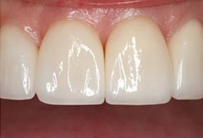
After

Utopia Dental Arts | Night Guards, Ceramic Crowns and Pediatric Dentistry

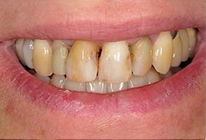
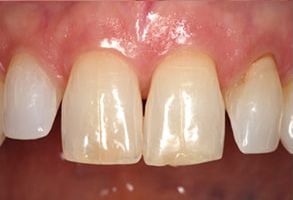
Before

Utopia Dental Arts | Dental Bridges, Extractions and Dental Cleanings

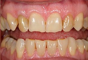
After

Utopia Dental Arts | Ceramic Crowns, Digital Impressions and Dental Bridges

Before

Utopia Dental Arts | Digital Radiography, Invisalign reg  and Veneers

After

Utopia Dental Arts | Veneers, Emergency Treatment and Extractions

Before

Utopia Dental Arts | Veneers, Ceramic Crowns and Emergency Treatment

After

Utopia Dental Arts | Laser Dentistry, Root Canals and Pediatric Dentistry

Before

Utopia Dental Arts | Cosmetic Dentistry, Implant Dentistry and Ceramic Crowns

After

Utopia Dental Arts | Digital Impressions, Pediatric Dentistry and Preventative Program

Before

Utopia Dental Arts | Emergency Treatment, Ceramic Crowns and Implant Dentistry

After

Utopia Dental Arts | Dental Bridges, Ceramic Crowns and Dentures

Before

Utopia Dental Arts | Dentures, Oral Exams and Cosmetic Dentistry

After

Get in touch

We’re always on hand to answer your questions and get back to you with a prompt response.

Submit

Thank You!

We appreciate you taking the time to visit our site. We'll review your message and be in touch with you soon.

Continue

Let us help bring out the best in your smile!

About Us

Our goal is to help every patient experience the benefits of good oral health and a beautiful smile. We value the trust you have placed in our office and strive to provide solutions that meet your dental needs and expectations of care.